Gaziantep Haberler
Gündem
Siyaset
Asayiş
Spor
Dünya
Ekonomi
Anasayfa
Son dakika haberleri | Haberleri
Son dakika haberleri | Haberleri
Derdine Çare Bulamadı, Hemen Esra Ezmeci’ye Sordu: “Eşim Sevişirken Arkadaşımın…” Esra Ezmeci Bu Kez Sert Çıktı!
Seçim Öncesi Bu Rakamlar Dikkat Çekti! İşsizlik Rakamları Belli Oldu! İşte Detaylar…
Selahattin Paşalı müezzin oldu, sosyal medya dedikodu kazanı kaynadı: “Çıplak sesle okunması detayı iyiymiş…” Ömer dizisi yayın hayatına başladı!
Gaziantep'te Emeklilerin Gözü Kulağı Bu Haberde! 2023 Emekli İkramiyesinde Rekor Beklenti! Ne Kadar Oldu? İşte Detaylar…
Gaziantep’ten Kaybolmuştu, Tüm Türkiye Bu Olayı Konuşmuştu! Müge Anlı, Sare’yi Buldu; Meryem’in Ölümünü Aydınlattı! “Yolun Sonu Cezaevi…”
10 Ocak 2023 Gaziantep Nöbetçi Eczaneler Listesi… İşte İlçe İlçe Sıralı Liste!
CHP’nin Kamil Ocak mutluluğu
Doğalgaz Faturasıyla PTT’ye Gidene 2.500 TL Ödeme Desteği! Ocak-Şubat Aylarında Geçerli Doğalgaz Tüketim Desteği Başvuruları Başladı
20 yaş üzeri arabası olanları ilgilendiriyor! Hurda teşviki 2023’te gündeme gelecek mi?
2023 Pasaport Harç Ücretleri Belli Oldu! Bordo, Yeşil, Gri, Siyah Pasaport Çıkartmak Kaç Lira?
Antep FISTIĞI'NIN FİYATI NEDEN ARTIYOR? Antep BAKLAVASI NEDEN ZAM REKORU KIRIYOR? Spekülatörler fıstıkta yine yaptı yapacağını...
EYT’li Çalışanlara Yapılan Anket Sonuçlandı! Emekliliğe Hak Kazananların Üçte İkisi Çalışmaya Devam Edecek!
Maxim 36 maç sonra yoktu
Gaziantep FK ateşi el yakıyor!
Flaş Haber! Gaziantep FK kayyuma mı kalıyor?
SpaceX, OneWeb internet uydularını başarılı bir şekilde fırlattı
Gaziantep’te Tapusu Olanlar Dikkat! Bu Tarihi Kaçırana Ceza Var!
Basın İlan Kurumu Gaziantep Şube Müdürü Haşim Poyraz’dan GAİGAD’a ziyaret
Olmaz denilen oldu, Didem Arslan Yılmaz’la Vazgeçme’ye o isim veda etti! Reytingler düşecek, artık hiçbir şey eskisi gibi olmayacak! Meğer…
Müge Anlı Bile Bu Olaya YOK ARTIK DER! Dayısının eşiyle yani yengesiyle lişki yaşadı, sonra dayısının kızıyla evlendi! Baldızı kızı çıktı
Genç adam 7 kurşunla öldürülmüştü, akrabası gözaltında
Futbolcuların istanbulspor karşılaşması karnesi
Yalı Çapkını dizisine Mine Tugay’dan sonra bir isim daha transfer oldu! Bomba gibi transferin detayları ortaya çıktı! Meğer…
Süveyş Kanalı’nda karaya oturan gemi kurtarıldı
Her paylaşımı olay oluyor! Ebru Polat bu kez yatakta poz verdi! Sosyal medya resmen kaynıyor: “Bu nasıl bir poz?”
Kansere Çare Türk Doktorlardan Geldi! Bu Buluş Dünyada Ses Getirecek! 4 Kanser Türü İçin Sona Gelindi!
Başkan Fadıloğlu öğrencilerle kariyer günlerinde buluştu
Konukoğlu ailesinin kimi vefat etti?
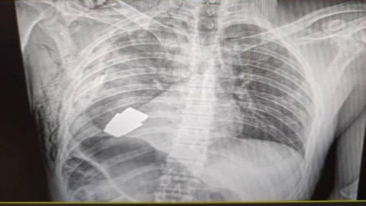
Ukraynalı askerin vücudundan el bombası çıkarıldı
Gaziantepli Annelere Müjde! Ucuz Mutfak Gereçleri Ve Bebek Malzemeleri 13 Ocak’ta Tüm BİM Marketlerinde Satışa Sunulacak!
Bu ikiliyi sofralarınızdan eksik etmeyin, kış aylarını hasta olmadan kolayca geçirin! İşte İbn-i Sina’nın mucizevi tarifi…
Google’dan Çığır Açacak Güvenlik Önlemi! Telefon Kilidi Endişesi Son Bulacak! Apple Bu Özelliğe Dava Açabilir!
Obezite çağın en önemli sağlık sorunu olarak öne çıkıyor
Karbonat Deyip Geçmeyin! O Etkisi Başka Bir Görüntü Sağlıyor! Mutlaka Denemelisiniz!
Türkiye Kıyamet Tatbikatı Yaşayacak! Bu Doğa Olayları Sizi Korkuya Salabilir! İşte Detaylar…
Erol Bulut’ta istifa yolunda
Gaziantep’te FETÖ/PDY operasyonu: 6 gözaltı... Video Haber
Apple’den Nihayet Haber Geldi! Iphone 15 Ne Zaman Çıkacak? Bu Özelliği Herkesi Şaşırtacak!
İşte Detaylar...Gaziantep FK’da flaş istifa!
Nidazol Şurup Ne İşe Yarar, Nasıl Kullanılır? Fiyatı 2023
Akaryakıt Fiyatları Değişti, Benzine İndirim Sinyali Geldi! İşte 10 Ocak 2023 Gaziantep Güncel Benzin, Motorin ve LPG Fiyatları…
EYT Düzenlemesinin Takvimini AK Parti’nin O İsmi Açıkladı: Salı Gününe Dikkat Edin! “Genel Kurul Kabul Ederse…”
Mukotik Şurup Ne İşe Yarar, Nasıl Kullanılır?
Tarih Bugün Hiç Olmadığı Kadar Değişime Uğradı! 10 Ocak Bugün Tarihte Ne Oldu? İşte Önemli Olaylar...
Gaziantep Buz Devrine Hazır Ol! Kötü Haber Geldi, Gaziantepliler Şaştı Kaldı! İşte Gaziantep Anlık Hava Durumu…
Motilium Şurup Ne İşe Yarar, Nasıl Kullanılır? Fiyatı 2023
Gaziantep’te binlerce kaçak makaron ele geçirildi: 2 gözaltı
10 Ocak 2023 Gaziantep Elektrik Kesintisi Tam Liste! Gaziantep Elektrik Kesintileri Nerelerde Olacak?
15
16
17
18
19
20
21
Haberler
Son Haberler
Manşetler
Gaziantep Haberler
Gündem
Siyaset
Asayiş
Spor
Dünya
Ekonomi
Sağlık
Yaşam
Eğitim
Teknoloji
Magazin
Kültür & Sanat
Resmi İlanlar
Gaziantep Plazma
Yemek Tarifleri
Yazar Yazıları
Diğer İçerikler
Foto Galeri
Web Tv
Yazarlar
Gazete Manşetleri
Kurumsal
Künye
İletişim
Gizlilik İlkeleri
Kullanım Şartları
Geliştiriciler İçin