Evde bulunan malzemelerle diş tartarlarını ve plakları bu teknikle yok edin
15
Halk TV'nin newsner'dan derlediği içeriğe göre; Diş temizliğine dikkat etmek gerekmektedir. Güzel gülüşler aynı zamanda insanlarda özgüveni de arttırır. Öte yandan sağlığınız açısından da dişlerinize bakmanız büyük önem taşır.
25
35
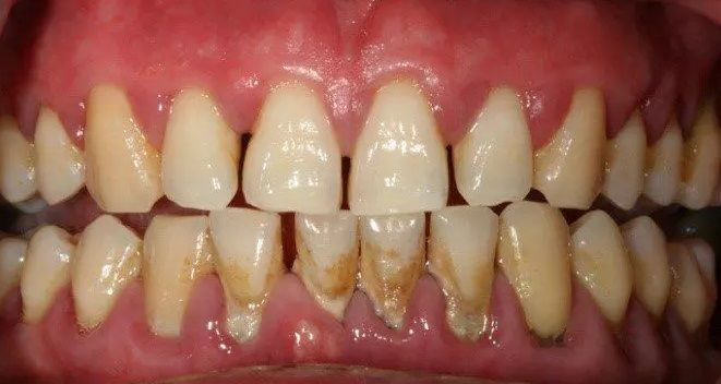
Kötü alışkanlıkların yanı sıra dişte leke bırakan yiyecek ve içecekler tartar oluşumuna neden olmaktadır.
Sigara, Alkol, kahve ve asitli içeceklerden aslında uzak durmanız sağlığınız açısından da büyük önem taşır.
Dişlerinizi her gün en az iki kez fırçalasanız bile dişinizde oluşan plakların önüne geçemeyebilirsiniz.
Dişlerinize gerekli özeni göstermemeniz halinde dişinizi kaybedebilir ve hatta dişteki zararın diş etinize de yansımasına sebep olabilirsiniz. Bu durumda dişinizi kurtarmak mümkün olmayabilir.
Sizler için diş tartarlarını yok etmenize yardımcı olacak bazı doğal yöntemleri paylaşacağız.
45
1- Karbonat
Diş temizliğinde en çok kullanılan şeylerden biri de karbonattır. Öte yandan dişleri de beyazlatır.
2- Hidrojen peroksit
Hidrojen peroksit diş beyazlatmada kullanılan maddelerden biri. Hidrojen peroksit ile gargara yapmak çoğu kişinin dişlerinin beyazlamasına yardımcı olmuştur.
3- Elma
Elma, doğal diş macunu olarak görülür. Elma yemek dişteki plak oluşumunu önler ve nefesi kötü kokanlara yardmcı olur.
Elmada bulunan lifler plakların düşmanıdır.
55
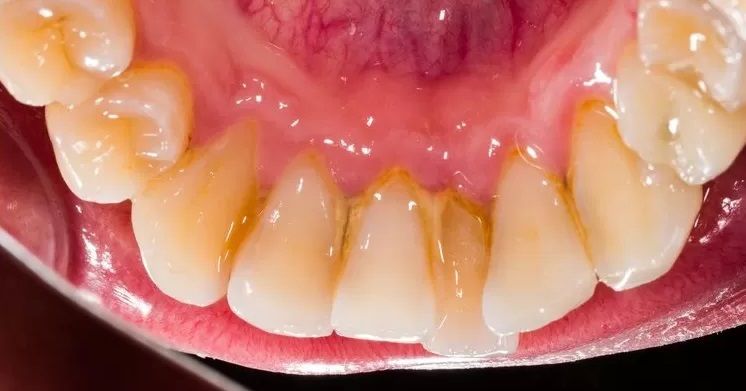
Karbonat ve Aloe Vera Yöntemi
Aloe veranın tadı acı olsa da tartarları yok etmekte oldukça etkilidir. 1 çay kaşığı aloe vera, 4 çay kaşığı gliserin, 5 çay yemek kaşığı karbonat, limon yağı ve bir bardak suyu karıştırıp dişinize sürün. Plak ve tartar zamanla kaybolacaktır.
Evet bu bilgiler dişlerinizi hem tartarlardan kurtaracak hem de dişlerinizi beyazlatmaya yardımcı olacaktır.
Türkçe karakter kullanılmayan ve büyük harflerle yazılmış yorumlar onaylanmamaktadır.