İbrahim Saraçoğlu ve Feridun Kunak’tan kireçlenme için doğal çözüm! Eklemlerde kireçlenmeyi en aza indirin!
13
Vücudun gün boyunca gereksinim duyduğu besinleri almasını sağlayan, hastalıkları en aza indiren mucize besinler. En çok yaşanan eklem sorunlarından biri olan kireçlenme belirtileri, kireçlenme için tedavi nedir? Açıkladığı pratik bilgiler ile İbrahim Saraçoğlu ve Feridun Kunak, şimdi de kireçlenmeye dair yapılması gerekenleri paylaştı! İşte kireçlenme sorunu için tavsiyeler!
Haberin devamı için diğer sayfaya geçiniz...
23
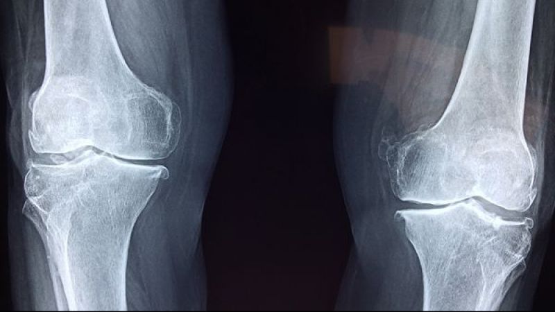
Genel olarak dizlerde, ellerde, omurgada ve kalçalarda meydana gelen kireçlenme tedavi edilmesi gereken önemli bir sağlık sorunudur. Kişilerle en çok görülen kronik eklem sorunlarının başında gelen kireçlenmenin bütün eklemleri etkiliyor olması sağlık adına son derece riskli. Kireçlenme genel olarak yaşlılarda meydana gelse de her yaştan birini de etkisi altına alabilir. Kireçlenmenin en önemli özelliklerinden biri eklemlerde kalsiyum tuzunun birikmesidir. Ağırlık yüklenen eklenme çok sık görülen kireçlenmenin çeşitli sebepleri bulunur.
Haberin devamı için diğer sayfaya geçiniz...
33
Normal yaşamda eklemler sürekli olarak aşınmaya maruz kaldığı ve kemiklerde vücut bu durumu onaramadığından dolayı kireçlenme yaşanır. Sorun genel olarak orta ve ileriki yaştaki kişilerde meydana gelir. Yaşın ilerlemesi ile eklemler ve kemiklerdeki kıkırdak yapısı değişir. Bundan dolayı kemiklerin dayanıklılığı azalır. Başka bir faktör ise genetik yapıdır. Vücudun kıkırdak yapısını meydana getiren kolajen üretimine görülen kusurlar genetik yapıya bağlı olarak kireçlenme rahatsızlığında rol sahibi olur. Bunlar haricinde obezite, hareketsiz bir yaşam sürmek ve yaralanmak da eklemlerde kireçlenmeye sebep olan etkenler arasında yer almaktadır.
KİREÇLENME SORUNU İÇİN DOĞAL ÇÖZÜMLER
Kireçlenme için evinizde uygulayabileceğiniz en etkili ve kolay bitkisel yollar bulunuyor. Aloe vera da bunlardan biridir. Ağrı yaşanan bölüme masaj yaparak uygulayacağınız bu yağ ile kireçlenme sorununu en aza iner. Bir başka bitkisel yol ise zencefil kullanmaktır. Gün içinde bir kere şekersiz olarak tüketeceğiniz zencefil ile şişkinlikler en aza inebilir
Türkçe karakter kullanılmayan ve büyük harflerle yazılmış yorumlar onaylanmamaktadır.